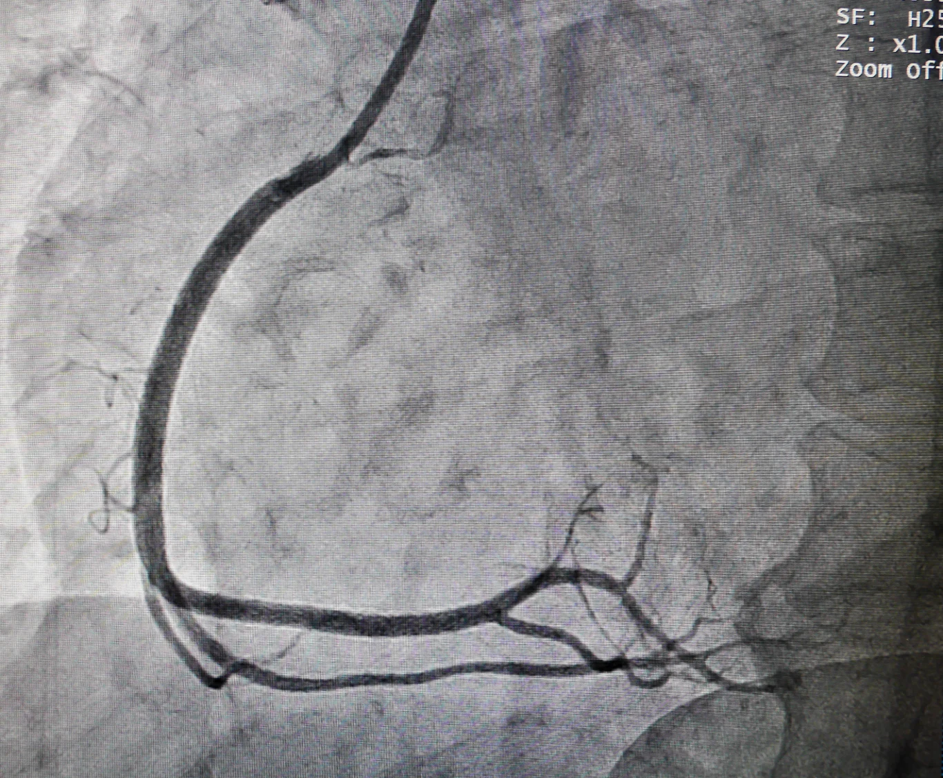
Poprzez zlokalizowanie w tętnicach ewentualnych przewężeń, koronarografia pozwala ocenić stopień zaawansowania zmian miażdżycowych oraz ocenić skuteczność leczenia.
Cel wykonania koronarografii
Jeżeli tętnice są zwężone, może to wywołać niedokrwienie serca, czyli chorobę wieńcową. Jeżeli zaś któraś z tętnic wieńcowych ulega zatkaniu, konsekwencją jest zawał serca. Nic więc dziwnego, że koronarografię zaleca się u pacjentów z podejrzeniem choroby niedokrwiennej serca.
Badanie to pozwoli na rozpoznanie, która tętnica została zamknięta, dzięki czemu można w porę udrożnić zablokowane naczynie i rozszerzyć zwężenie. W efekcie prostym wnioskiem jest fakt, że koronarografia ratuje życie.
Koronarografia - nie ma się czego bać
Jeżeli koronarografia ratuje życie, skąd lęk przed nią? Odpowiedź kryje się w tym, że jest to badanie inwazyjne, zatem jak każde takie, związane z pewnym ryzykiem.
Koronarografia polega na cewnikowaniu serca, do którego wprowadza się jeden lub więcej cewników. To zagraża rzeczywiście niepożądanymi konsekwencjami natury miejscowej lub ogólnej. Nie da się jednak ukryć, że bilans zysków i strat zdecydowanie rozstrzyga się na korzyść tych pierwszych.









