Spis treści:
- Jak objawia się zapalenie płuc?
- Zapalenie płuc. Diagnozowanie
- Jak leczy się zapalenie płuc?
- Zapalenie płuc. Kto najbardziej narażony?
- Jak można zapobiegać zapaleniu płuc?
Jak objawia się zapalenie płuc?
Zapalenie płuc może być następstwem zapalenia oskrzeli. Zdarza się, że chorują także pacjenci, którzy w szpitalu zarazili się bakteriami z gatunku: Pseudomonas aeruginosa, Escherichia coli, a także Streptococcus pneumoniae, Staphylococcus aureus oraz Klebsiella pneumoniae.
Chorzy na zapalenie płuc najczęściej skarżą się na następujące dolegliwości:
- wzmożoną potliwość;
- wysoką gorączkę;
- dreszcze;
- ogólne osłabienie;
- uporczywy kaszel;
- ból w klatce piersiowej;
- uczucie duszenia się;
- trudności w oddychaniu;
- bóle mięśni.
Zapalenie płuc. Diagnozowanie
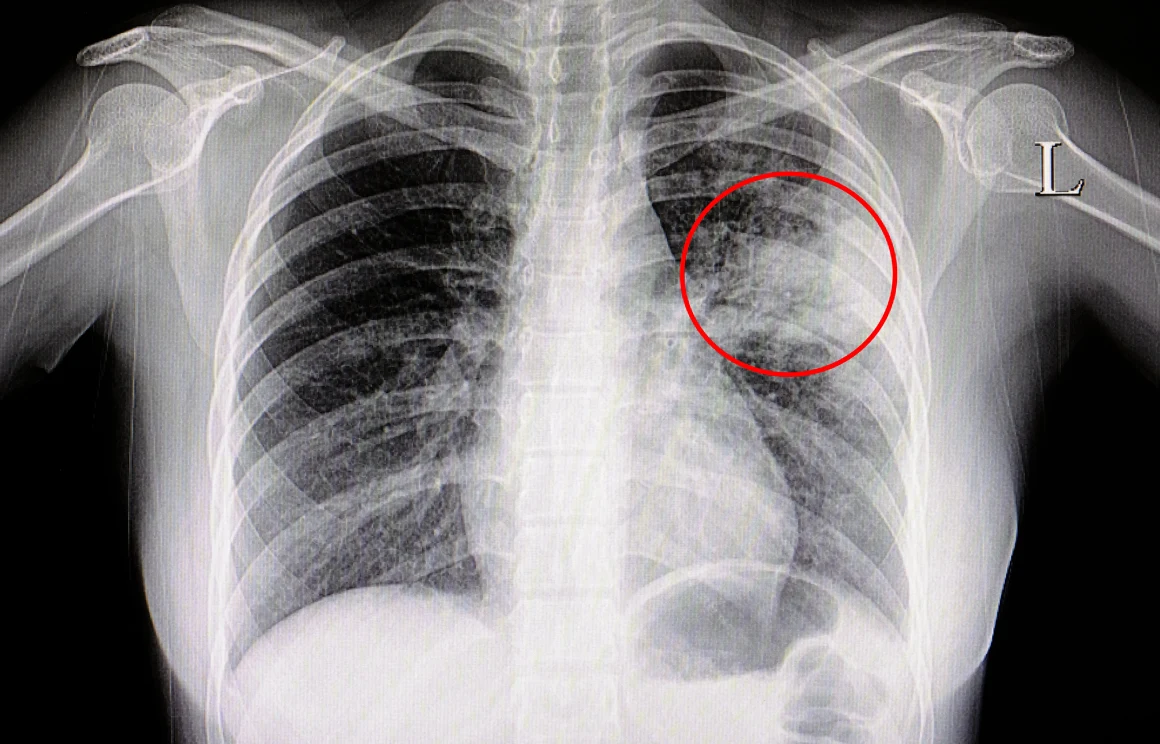
Lekarz przeprowadza wywiad z pacjentem i dokładnie go osłuchuje. W płucach chorego można spodziewać się obecności rzężeń i wyraźnych trzeszczeń. Czasami podejmuje się decyzję o wykonaniu badań obrazowych, zwłaszcza RTG, które ukazuje charakterystyczne zaciemnienie zajętych obszarów miąższu płucnego, czasami konieczne okazuje się zlecenie tomografii komputerowej, która jest badaniem dokładniejszym. Wskaźnikiem świadczącym o toczącym się zapaleniu jest stężenie białka CRP w krwi. Zdarza się, że trzeba wykonać bronchoskopię, która bez wątpienia jest badaniem nieprzyjemnym. Polega na endoskopowym pobraniu materiału biologicznego z dróg oddechowych. Próbkę można zbadać i w ten sposób poznać czynnik chorobotwórczy.
Zobacz również:
Zapalenie płuc jest trudne do odróżnienia od kilku chorób. Podobne objawy daje COVID-19, z tym że pacjenci zgłaszają więcej objawów grypopobnych, z zaburzeniami węchu i smaku.
Zapalenie płuc trwa zazwyczaj tydzień, lub dwa. Jeżeli jest wywołane przez czynnik atypowy, może potrwać nawet do miesiąca.
Jak leczy się zapalenie płuc?
Ponieważ zapalenie płuc to niebezpieczna choroba, zaleca się konsultację lekarską każdemu, kto rozpoznaje u siebie wyżej wymienione objawy. Łagodną postać choroby można wyleczyć w warunkach domowych, zażywając zapisane antybiotyki, leki przeciwkaszlowe i przeciwgorączkowe, pijąc dużo płynów, odpoczywając, śpiąc. Jeżeli spada stężenie tlenu w organizmie, stosuje się tlenoterapię. W ciężkich przypadkach konieczna jest hospitalizacja, a nawet podłączenie do respiratora.
Pamiętajmy, że zapalenie płuc jest chorobą zaraźliwą, co oznacza, że chory powinien być izolowany od innych, a szczególnie od osób z obniżoną odpornością.
Zapalenie płuc. Kto najbardziej narażony?
Jak już zostało wspomniane, największe ryzyko zachorowania przypada na dzieci i osoby starsze. Poza tym w grupie ryzyka znajdują się:
- osoby z obniżoną odpornością (na immunosupresji, chore na AIDS),
- alkoholicy,
- palacze papierosów,
- ludzie z zaburzeniami odżywiania,
- alergicy,
- cierpiący na przewlekłą obturacyjną chorobę płuc,
- ci, u których występuje niedrożność dróg oddechowych.
Jak można zapobiegać zapaleniu płuc?
Aby jak najbardziej zminimalizować ryzyko zachorowania, zaleca się: zaprzestanie palenia papierosów, utrzymywanie zbilansowanej diety, spacery na świeżym powietrzu, wietrzenie pomieszczeń, unikanie skupisk ludzkich, ponieważ mogą znajdować się tam osoby zarażające, regularny sen (trwający ok. ośmiu godzin dziennie).
Mogą zainteresować cię również:Astma burzowa. Nietypowa przypadłość wraz z nadejściem burzy
Pomogą nam oczyścić płuca. Bezcenne rady
Tak wyglądają płuca chorego na COVID-19. Przerażające zdjęcie











